Autores: Lafuente-Ibáñez de Mendoza I, Fassi-Fihri O, Maeztu-Martínez M, Aguirre-Urizar JM.
Patología y Medicina Oral. Departamento de Estomatología. Facultad de Medicina y Enfermería. Universidad del País Vasco/Euskal Herriko Unibertsitatea. Campus de Leioa. Centro Dental De Maeztu. Tolosa. Guipuzcoa.
Texto:
El Quiste Residual (QRe) es una lesión quística inflamatoria de origen odontogénico, descrita en la Clasificación de Tumores de Cabeza y Cuello de la OMS como “un Quiste Radicular que permanece en los maxilares después de la extracción del diente afectado”1.
Los QRes constituyen hasta el 10% de todos los quistes odontogénicos y son preferentemente asintomáticos y de evolución lenta2. Radiológicamente, se presentan como una lesión radiolúcida unilocular bien definida y de márgenes corticados3. El diagnóstico diferencial radiológico del QRe incluye otras entidades odontogénicas como el quiste radicular lateral o el queratoquiste odontogénico. Por ello, es muy importante realizar siempre una completa historia clínica y una buena exploración radiológica antes de su enucleación quirúrgica. Las recurrencias de los QRes son infrecuentes3.
En este trabajo presentamos un caso de quiste residual para-implantario en el maxilar superior en un hombre de 65 años sin antecedentes médicos de interés, consumidor de tabaco y con mala higiene oral, que acudió a consulta por dolor en relación con los implantes dentales del segundo cuadrante, colocados hace 11 años. El paciente presentaba el antecedente de una lesión radiolúcida irregular previa en el alveolo post-extracción del diente 2.5, relacionada con un tratamiento endodóntico fallido, que fue diagnosticada como una periodontitis periapical crónica sin análisis histopatológico (Figura 1.A). A los 7 años tras la colocación de los implantes, presentó un episodio de peri-implantitis que fue tratado con láser Er:Cr YSGG, tras lo cual dejó de acudir a terapia de mantenimiento. En este momento, 4 años después, el paciente presenta un cuadro doloroso peri-implantario, con una profundidad de sondaje de 10 mm por vestibular del implante 2.5 y pérdida ósea marginal en los 3 implantes (Figura 1.B). Con el diagnostico de peri-implantitis se programa un tratamiento quirúrgico, donde se descubre una lesión intraósea membranácea para-implantaria adyacente, con persistencia del tabique óseo de separación entre los defectos óseos (Figuras 2.A-2.B).
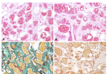
El análisis histopatológico de la biopsia muestra una lesión quística bien definida, con una pared conectiva fibrocelular densa sin inflamación, en la que se identifican restos de epitelio odontogénico bien definidos (Figura 3. A-B). El quiste presenta un epitelio de revestimiento interno, poliestratificado no queratinizado, delgado en su mayor parte, con zonas más gruesas con cuerpos hialinos de Rushton (Figura 3. C-D). El análisis inmunohistoquímico del epitelio muestra expresión positiva de citoqueratinas 14 y 19, confirmando su naturaleza odontogénica (Figura 3. E-F). Con todos estos datos, el diagnóstico clinicopatológico final fue de “Quiste Residual Para-implantario”. Un año y medio después, el paciente está en control periódico de mantenimiento y los implantes 2.4, 2.5 y 2.6 están estables, sin nuevas alteraciones. No se aprecia ningún signo de recurrencia de la lesión quística.

Aunque clásicamente se ha considerado al QRe como un quiste odontogénico inflamatorio, que permanece tras la extracción del diente con patología pulpar inflamatoria previa, otras patologías maxilares odontogénicas o no odontogénicas, quísticas o neoplásicas, también pueden adoptar un aspecto radiológico similar como un “quiste residual”3. Los “quistes residuales inflamatorios” maxilares son una entidad clinicopatológica odontogénica, sin preferencia de género, que aparecen en la mayor parte de los casos, en pacientes adultos4. Estas lesiones suelen desarrollarse mas frecuentemente en la mandíbula y en el sector posterior2,4. Dada la ausencia del estímulo inflamatorio inicial que lo condicionó (Quiste radicular), el QRe suele presentar un menor componente inflamatorio5, mostrando una cápsula conectiva fibrocelular densa, indistinguible en ocasiones de la de los quistes de desarrollo2,3. El revestimiento epitelial es poliestratificado no queratinizado; pudiendo presentar áreas de metaplasia mucosa e incluso diferentes grados de queratinización superficial; lo que en algunos casos dificulta el diagnóstico histopatológico final3. La formación de cuerpos hialinos de Rushton es un dato característico de esta entidad, aunque también pueden aparecer en otros tipos quísticos1,3.


El caso de QRe que presentamos es especial, dada su relación con implantes dentales; y nos ha motivado a presentarlo y realizar una revisión de la literatura, para identificar otros casos de QRe asociados a implantes y discutir sus principales características clinicopatológicas.
Hemos podido revisar 5 casos de QRe para-implantario6,7 (Tabla 1), que corresponden a 2 mujeres y 3 hombres, con una edad media de 48,20 años (rango: 25-65). Los quistes se localizaron tanto en el maxilar superior como en la mandíbula y en los sectores anterior y posterior. El tiempo de evolución desde la colocación de los implantes hasta el diagnóstico de la lesión varió entre 1 y 10 años. En la mayoría de los casos se descubrieron como una radiolucidez irregular asociada a pérdida del hueso de soporte peri-implantario. Una mayoría de los casos presentaron dolor en la zona lesionada, y además 2 casos también mostraron tumefacción. Tras la exéresis quirúrgica del quiste, se mantuvo la estabilidad ósea de todos los implantes dentales.

La patogenia del QRe para-implantario es similar a la del QRe inflamatorio convencional, que se forma cuando el proceso inflamatorio pulpar alcanza la región periapical, e induce una respuesta inflamatoria crónica en el periodonto, condicionando la activación y proliferación de los restos epiteliales de Malassez, y conformando una cavidad quística que permanece en el hueso tras la exodoncia2. La existencia de un antecedente de patología pulpar (endodoncia fallida o fractura dental) en todos los casos de QRe para-implantario revisados, sugiere que este factor es el punto de partida de estas lesiones, y no el proceso inflamatorio de peri-implantitis. No obstante, la existencia de un trastorno inflamatorio peri-implantario cercano podría reactivarla.
Esta patología para-implantaria vuelve a resaltar la importancia de realizar siempre una historia clínica completa, una exploración minuciosa y un buen análisis radiológico pre-exodoncia; así como un correcto curetaje del alveolo post-extracción, eliminando todo el material que pueda existir, y remitiéndolo para su estudio histopatológico. Junto a ello, es preciso realizar siempre un examen radiológico, pormenorizado de los maxilares, incluido el CBCT, en todos los pacientes que sean candidatos a una terapia rehabilitadora con implantes. Previamente a la colocación de los implantes dentales, y ante una lesión radiolúcida maxilar, siempre debemos realizar su diagnostico clínico-radiológico-histopatológico y tratamiento. Tras la recuperación ósea y el tratamiento implantológico, no debemos olvidar que no todas las “lesiones inflamatorias peri-implantarias” corresponden a peri-implantitis, ya que existen otras patologías que pueden ser similares9. Además, aunque el QRe es una lesión maxilar considerada benigna inicialmente, se han reportado casos de transformación maligna en esta patología8, lo que apoya la importancia de su correcto diagnóstico, tratamiento y control.
Como conclusión podemos señalar que el “Quiste Residual Para-implantario” es una patología maxilar infrecuente, no obstante, representa es un buen ejemplo para justificar nuestro buen hacer sanitario, realizando una completa historia clínica y exploración radiológica maxilar, en todos los casos que van a ser tratados con implantes dentales. Del mismo modo, los pacientes rehabilitados con implantes dentales deben ser controlados activamente, para poder diagnosticar y tratar precozmente la posible aparición de trastornos peri-implantarios, incluido un Quiste Residual.
Referencias
- Speight P, Soluk Tekkesin M (2017). Odontogenic cysts of inflammatory origin. In El-Naggar AK, Chan JKC, Grand JR, Takata T, Slootweg PF (IARC Eds.), WHO classification of head and neck tumors (232-233). Lyon, France: IARC Publications.
- Main DMG. Epithelial jaw cysts: a clinicopathological reappraisal. Br J Oral Surg 1970;8(2):114-125.
- Shear M, Speight P (2007). Radicular cyst and Residual cyst. In Shear M, Speight P (Fourth Ed.), Cysts of the Oral and Maxillofacial Regions (123-142). Oxford, UK: Blackwell Publishing Ltd.
- Titinchi F, Morkel J. Residual cyst of the jaws: A clinico-pathologic study of this seemingly inconspicuous lesion. Plos one 2020;25(12):e0244250.
- Harris M, Toller P. The pathogenesis of dental cysts. Br Med Bull 1975;31(2):159-163.
- Frantz BJ, Caton JG, Bonacci FJ, Geminiani A, Arseneau R, Kahn MA. Peri‐Implant Cystic Lesion With Unusual Cellular Changes: A Case Report. Clin Adv Perio 2014;4(4):240-245.
- Pistilli R, Canullo L, Menini M, Pistilli V, Rossi-Fedele G, Pesce P. Retrograde peri-implantitis associated with residual cysts: 3 Case reports. JADA 2020;151(12):956-961.
- van der Waal I, Rauhamaa R, van der Kwast WAM, Snow GB. Squamous cell carcinoma arising in the lining of odontogenic cysts. Report of 5 cases. Int J Oral Surg 1985;14(2):146–152.
- Sotorra‐Figuerola D, Lafuente‐Ibáñez de Mendoza I, Parra‐Pérez C, Aguirre‐Urizar JM. Histopathological analysis of biopsies of “peri‐implant inflammatory lesions.” Everything is not what it seems. Clin Implant Dent Rel Res 2020;22(3):366-372.









